website traffic statistics

Read This Also

medulloblastome chez les enfants et les adolescents ensemble

medulloblastome chez les enfants et les adolescents ensemble

gliomatose cerebrale iii gliomatosis cerebri congress

gliomatose cerebrale iii gliomatosis cerebri congress

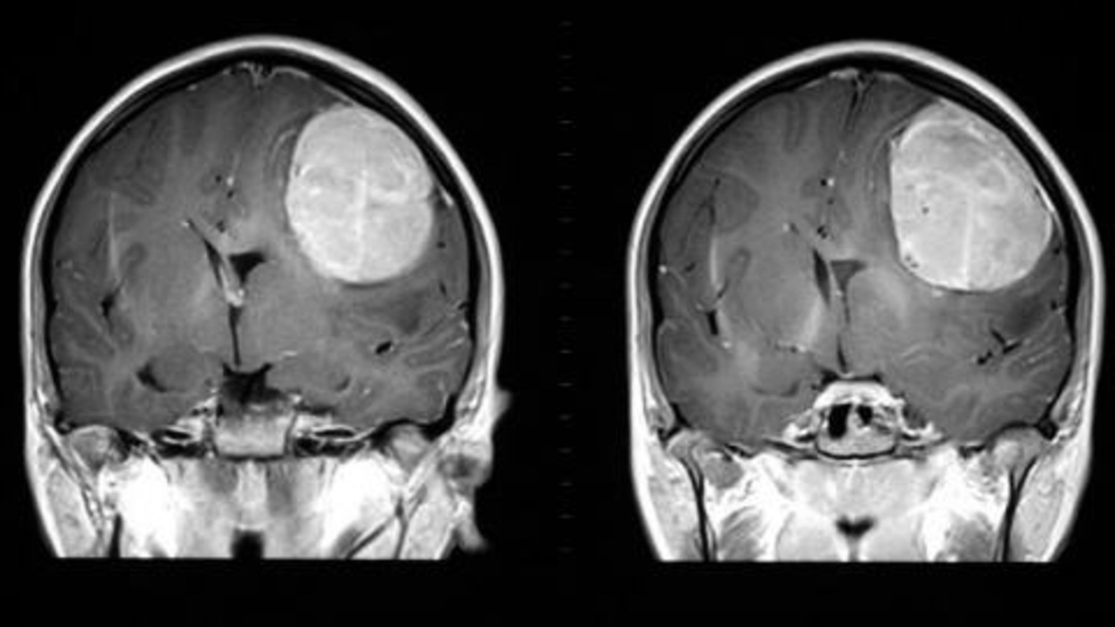
tumeurs du plexus choroide chez les enfants et les adolescents ensemble

tumeurs du plexus choroide chez les enfants et les adolescents ensemble

eyut0dbqdts5 m

eyut0dbqdts5 m

tumeurs du systeme nerveux central de l enfant et adolescent pediatrie suisse

tumeurs du systeme nerveux central de l enfant et adolescent pediatrie suisse

de plus en plus d enfants survivent a une tumeur au cerveau ce qui signifie qu ils sont de plus en plus nombreux a devoir apprendre a vivre avec des effets secondaires fondation

de plus en plus d enfants survivent a une tumeur au cerveau ce qui signifie qu ils sont de plus en plus nombreux a devoir apprendre a vivre avec des effets secondaires fondation

la tumeur cerebrale d une fillette de 11 ans disparait miraculeusement ses parents affirment que dieu l a guerie

la tumeur cerebrale d une fillette de 11 ans disparait miraculeusement ses parents affirment que dieu l a guerie

ependymome chez les enfants et les adolescents ensemble

ependymome chez les enfants et les adolescents ensemble

les tumeurs neurologiques chez l enfant sante sur le net

les tumeurs neurologiques chez l enfant sante sur le net

https encrypted tbn0 gstatic com images q tbn and9gcq5pchm fdqh0m1zffthdvn4qidafhrjf3pdttthy80ka uysn7 usqp cau

https encrypted tbn0 gstatic com images q tbn and9gcq5pchm fdqh0m1zffthdvn4qidafhrjf3pdttthy80ka uysn7 usqp cau

tumeur du cerveau chez le chat conseil veto illustre catedog

tumeur du cerveau chez le chat conseil veto illustre catedog

tumeur du cerveau chez le chien conseil veto illustre catedog

tumeur du cerveau chez le chien conseil veto illustre catedog

cancer du cerveau une molecule intelligente trompe et tue les cellules du glioblastome centre universitaire de sante mcgill

cancer du cerveau une molecule intelligente trompe et tue les cellules du glioblastome centre universitaire de sante mcgill

metastases au cerveau signes traitement esperance de vie

metastases au cerveau signes traitement esperance de vie

chirurgie des tumeurs au cerveau et a la moelle epiniere societe canadienne du cancer

chirurgie des tumeurs au cerveau et a la moelle epiniere societe canadienne du cancer

cancer un espoir pour traiter le gliome infiltrant en pediatrie sciences et avenir

cancer un espoir pour traiter le gliome infiltrant en pediatrie sciences et avenir

chroniques mieux comprendre la recidive des tumeurs du cerveau chaire en prevention et traitement du cancer

chroniques mieux comprendre la recidive des tumeurs du cerveau chaire en prevention et traitement du cancer

une nouvelle piste pour le traitement du glioblastome

une nouvelle piste pour le traitement du glioblastome

ashya king la fuite des parents a reduit ses chances de survie

ashya king la fuite des parents a reduit ses chances de survie

ce que ca fait de subir une operation du cerveau en etant eveille

ce que ca fait de subir une operation du cerveau en etant eveille

une hemorragie cerebrale peut necessiter une operation planete sante

une hemorragie cerebrale peut necessiter une operation planete sante

cancer du cerveau un nouveau traitement parvient a tuer les tumeurs les plus agressives

cancer du cerveau un nouveau traitement parvient a tuer les tumeurs les plus agressives

ils devaient mourir 7 operations chirurgicales miraculeuses

ils devaient mourir 7 operations chirurgicales miraculeuses

tumeur du cerveau chez le chien conseil veto illustre catedog

tumeur du cerveau chez le chien conseil veto illustre catedog

You May Like